マウスピース矯正

マウスピース矯正とは

マウスピース型の歯列矯正は、一人ひとりの歯の形に合うように作成され、治療の経過と歯の動きに合わせて矯正装置を調整・交換しながら少しずつ歯を動かし、歯並びを改善します。
また、矯正装置(アライナー)は、透明なプラスチックのマウスピース型になっており、装着しても口元が目立たず歯列矯正ができます。
前歯部は、口を開くと最も目につきやすい部分。この歯並びを段階的に矯正し、きれいな歯並びに改善することで、より素敵な笑顔に近づけるはずです。
矯正した後に歯並びが戻ってしまう「後戻り」には、アライナーで歯並びを再び整えることも可能です。
このようなお悩みはありませんか?

- 前歯のがたつきが気になる
- 目立たない矯正がしたい
- 第一印象を良くしたい
- 笑顔に自信を持ちたい
- 笑う時や話す時に口元を手で隠してしまう
- 大切なイベントを控えている
- 写真で笑顔が少ない
sure smile(シュアスマイル)とは

「sure smile(シュアスマイル)」は、ドイツのデンツプライシロナ社が開発した透明なマウスピース矯正システムです。
このシステムは、CAD/CAM技術を活用して患者様の歯、歯根、顎の骨を3Dモデル化し、バーチャルペイシェントとして治療計画を立案します。これにより、矯正治療の効率が大幅に向上し、患者様にも治療計画をより具体的に理解していただけるようになりました。
従来、歯型はシリコン材を用いた方法で取られていましたが、シュアスマイルでは「プライムスキャン」という専用デバイスを使用し、歯に直接触れずにスキャンするだけで型取りが完了します。これにより、嘔吐反射を起こしやすい患者様にも快適で、迅速かつ正確な型取りができるようになりました。 さらに、最新のデジタル技術を活用し、取得したデータを3Dモデルに変換し、治療計画のシミュレーションを行うことができます。 次の項目では、シュアスマイルの魅力についてさらに解説します。
sure smile(シュアスマイル)の特徴
point01
矯正完了後の歯並びを映像で確認

患者様1人ひとりの矯正後の歯並びについて、事前にシミュレーションできます。従来の矯正方法では、矯正完了後に初めて理想の歯並びを目にすることになりますが、実際の矯正結果を事前に見ることはできませんでした。
しかし、シュアスマイルでは患者様ご自身の歯の詳細をデジタル化し、そのデータをもとに矯正後の歯並びをシミュレーションします。治療後の歯並びを視覚化することで、矯正治療に対するモチベーションアップにも期待できます。当院でもこのシステムにより、仕上がりを楽しみに待つ患者様の声を多くいただきました。
point02
3Dモデル化によるバーチャルペイシェントの活用

患者様の歯から歯根、顎骨までを3Dモデル化し、仮想の患者様こと「バーチャルペイシェント」を用いながら、治療方針について計画することが可能です。
治療の効率性が高まるだけでなく、患者様と治療の最終目標を共有することで、医師と患者様双方の安心感を高め、今まで以上に1人ひとりに合った治療を提供できるようになりました。
point03
歯科医師の技術差による影響に左右されない

機械によって矯正治療用の装置が作られるため、歯科医師間の技術差が減るという強みもあります。従来の矯正治療では、歯科医師の技能やアプローチによって、使用する器具や装置の調整回数、治療期間にどうしても差が出ていました。
しかし、シュアスマイルでは、患者様の歯のデータをもとに、治療完了までの計画を事前に立てていきます。理想の歯並びを患者様とともに設計し、その目標に合わせて機械が装置を作り出します。
何十個もの装置が製作されるので、歯が予定通りに移動した場合は、次の装置を歯科医院で装着していきます。機械による精密な製作・進行により、歯科医師の技術差による影響を受けることなく、一貫して精度の高い装置が提供できます。
point04
歯を抜かずに矯正できる

シュアスマイルは、歯を段階的に移動させる矯正法です。そのためインビザラインと同じように、「歯を抜かなくても矯正できる」という強みを持っています。
ただし、歯並びの状態によっては、抜歯が必要な場合や、シュアスマイルが適用できないケースもあります。「健康な歯を抜くことに抵抗がある」「抜歯するのが不安」と考えている方は、シュアスマイルを選択肢の1つとして検討してみるのも良いでしょう。
point05
歯列矯正の期間を短縮させる装置「VPro+」

加速矯正デバイスは、歯列矯正治療を加速するための装置です。この装置を使用すると、歯と歯肉に高周波振動が起こり、歯の移動速度が向上します。これは、FDA(アメリカ食品医薬品局)によって認められた唯一の高周波振動デバイスであり、その効果は科学的に証明されています。
毎日ご自宅でわずか5分間使用するだけで、治療期間を短縮し、より快適な矯正体験を提供します。
VPro+による矯正治療の効率化
- 歯の迅速な移動
高周波振動により、歯の移動が速く行われます。 - 治療期間の大幅短縮
報告によりますと、治療期間が最大64%短縮されることがあります。 - 矯正治療で生じる不快感(痛みなど)が軽減されます
- 歯の動きの予知性向上
治療計画に近い治療が実現されます。 - マウスピース矯正の効果増強
矯正装置の中でも、特にマウスピース型矯正装置での効果が顕著に現れるとされています。 - リテーナー装着時のサポート
矯正治療後の歯の位置を維持するために通常はリテーナーを装着しますが、この期間中でもVPro+は使用可能です。
矯正治療の時間を短縮し、かつ治療中の快適さを求める方には、この加速矯正装置がお勧めです。
※なお、この装置の費用はシュアスマイルの総治療費に含まれています。
point06 透明で目立たない

マウスピースは透明なため、装着していることが外見的にはほとんど分かりません。
point07 取り外し可能

食事中はマウスピースの取り外しが可能です。
point08 他の装置より衛生的

取り外し可能なため、歯ブラシやデンタルフロスなどいつも通りのお手入れが可能です。
point09 口腔内を傷つけません

ワイヤー矯正など従来の装置のように、口腔内にダメージを与えることがありません。
point10 患者様の歯にフィットする

シュアスマイルのマウスピース素材は独自にデザインされています。患者様の歯をしっかりとつかみ、歯並びのコントロールを向上させます。
point11 金属アレルギーの方でも安心

マウスピース矯正では金属は一切使用しません。金属アレルギーで矯正治療に懸念があった方でも安心してご相談ください。
メリット
- 自分で取り外しできる
- 目立ちにくい
- 通院頻度が少ない
- 痛みを抑えられる
- 金属アレルギーの方でも安心
- 食べたいものを食べることができる
デメリット
- 歯並びや口内環境、骨格によって適応できない場合がある
- 毎日のケアが必須
- 交換時期や装着時間を守らないと効果が得にくい
当院での治療の流れ
①無料の精密検査(シミュレーション)

医師や担当スタッフと相談・カウンセリングを行います。
その後、デジタルスキャナーで歯型スキャンと口腔内写真を撮り、レントゲン撮影など矯正に必要な各種検査を実施します。
当院が使用しているデジタルスキャナーは、シロナ社製「CEREC Primescan」という高精度のスキャナーを使用しています。
歯型・各種検査データにより、マウスピース矯正が可能かどうか、どのプランが適しているのかを診断します。
検査結果が届くまで約2~3週間生じますので、次のご来院の際に結果のご説明をいたします。
②治療計画の説明

来院2回目以降に、医師や担当スタッフが患者様の治療計画を立案します。
デジタルスキャンによって得られた歯型のデータを用いて3Dシミュレーションを作成し、患者様に治療後の歯並びや矯正プランをご確認していただきます。
治療内容に同意いただけたら契約となり、シミュレーション結果を元に患者様一人一人に合わせてマウスピースの作製を開始します。
マウスピースが届くまで約3~4週間生じますので、次のご来院の際にマウスピースをお渡しいたします。
③治療開始

ご自身でマウスピースを交換しながら(1枚/2週間)矯正治療を行います。
治療中のご来院は、新しいマウスピースのお渡しや経過観察のため、1〜2ヶ月に1回ほどです。
また、マウスピースは1日あたり20時間以上の装着が推奨されていますので、飲食時以外はご着用ください。
④保定・メンテナンス

3Dシミュレーション通りの歯並びになったら矯正治療は終了です。
矯正治療後は、歯並びと嚙み合わせを安定させるために、保定装置(リテーナー)を装着します。
その後の経過観察や虫歯の確認、お口のクリーニングのため、メインテナンスを1ヶ月〜3ヶ月に一度のペースでご来院いただきます。
マウスピース矯正とワイヤー矯正の違い
マウスピース矯正

- 透明のマウスピースを使用し、目立ちません。
- 取り外しが可能なため口腔ケアが簡単で、食事の制限がありません。
- 痛みがほとんどありません。
- 歯並びによってはマウスピースが治療に適さない場合があります。
- マウスピースを外している間は、歯並び治療は進みません。
ワイヤー矯正

- 広範囲な適応症例に対応し、重度の不正咬合も治療可能です。
- 取り外しができないため、歯並び治療が持続的となります。
- 矯正装置が目立ちます。
- 取り外しができないため、入念な口腔ケアが必要です。
- 痛みを感じる場合があります。
不正咬合の種類
上顎前突(じょうがくぜんとつ)

いわゆる「出っ歯」。
上の前歯や上顎が前に出ている状態。
前歯をぶつけやすい、口が閉じにくい、発音に影響が出ることも。
下顎前突(かがくぜんとつ)

いわゆる「受け口」。
下の歯や下顎が前に出ている状態。
咬みにくさ、発音障害、顎関節への負担が出やすい。
開咬(かいこう)

奥歯を噛んでも前歯が閉じない状態。
前歯で食べ物が噛み切れない、発音が不明瞭になることがある。
過蓋咬合(かがいこうごう)

噛んだときに上の前歯が下の歯を深く覆っている状態。
歯ぐきを傷つける、顎の関節に負担をかけやすい。
叢生(そうせい)

歯並びがデコボコに重なり合っている状態。
歯磨きがしにくく、虫歯や歯周病のリスクが高まる。
空隙歯列(くうげきしれつ)

歯と歯の間にすき間がある「すきっ歯」。
見た目の悩みだけでなく、発音に影響することも。
交叉咬合(こうさこうごう)

上下の歯の咬み合わせが一部逆になっている状態
顎の成長に左右差が出たり、噛み合わせが不安定になることがある。
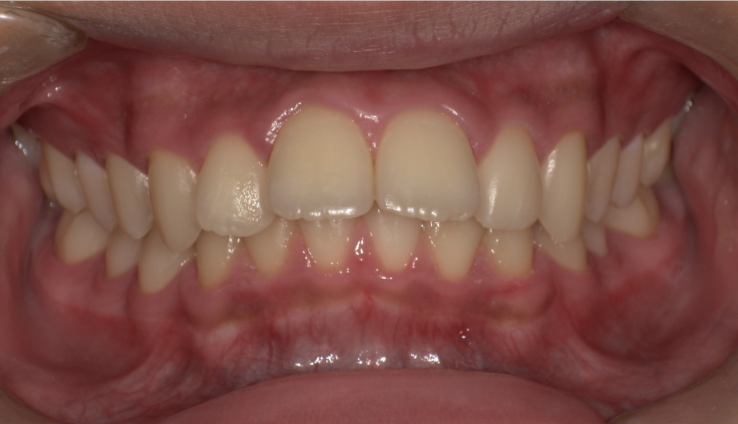
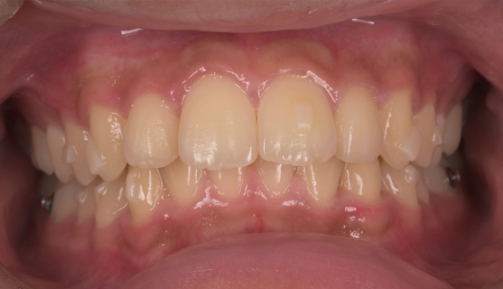
症例写真
初診

6ヶ月後

| 年齢 | 16歳 |
|---|---|
| 性別 | 男性 |
| 主訴 | 上顎前突(上の前歯や上顎が前に出ている状態) |
| 治療内容 | Sure Smile(非抜歯) 透明なマウスピースを段階的に交換し、歯並びやかみ合わせを整える矯正治療です。 |
| 治療期間 | 6ヶ月 |
| 費用 | 600,000円〜800,000円(税込) ※自由診療となります |
リスク・副作用
- マウスピース矯正は、マウスピースを一日20時間以上着けていないと歯が動かないため、決められた時間は必ず装置を装着して頂く必要があります。
- 装着初期に痛みや違和感が出ることがあります。
- 歯の移動に伴い、歯根吸収・歯肉退縮・かみ合わせの変化が起こる場合があります。
よくあるご質問(Q&A)
Q: 矯正期間はどのくらいかかりますか?
マウスピース矯正の期間は個々の状況や治療計画、方針によって異なりますが、平均的な期間は1年~2年程度といわれています。
歯を移動させる量が少ないケースであれば数か月で終わる事もあります。複雑なケースは2年以上かかる事もあります。
Q: マウスピース矯正中は痛みますか?
痛みの感覚には個人差がごありますが、マウスピース矯正は一般的に従来の矯正装置(ワイヤー)による痛みが少ないと報告されています。
また、新しいマウスピースに変えてから約2~3日は負荷感が生じる事があります。
Q: マウスピースを付け忘れたらどうなりますか?
マウスピースの装着し忘れや装着時間が短いと計画通りに矯正が進まず、矯正期間が延びてしまう事があります。
より良い矯正をするためには、患者様自身できちんと管理していただくことがとても大切です。
Q: マウスピースを装着した状態で飲み物を飲んでも良いですか?
飲み物は「お水」をおすすめします。
お水以外の飲み物は、歯とマウスピースの間に流れ込んで保持され、虫歯や着色の原因となります。
また、熱い飲み物はマウスピース変形の原因となりますので避けてください。
Q: 発音に影響しますか?
マウスピースに慣れるまでは舌がもつれる事があります。
通常は数日で解消されます。
Q: 矯正後に元に戻る事はありますか?
矯正で動かした歯が元の位置に戻ってしまう可能性はあります。
そのため、矯正後は保定装置(リテーナー)を装着し歯並びが元の位置に戻らないように安定させておく必要があります。
Q: どのような歯並びに適していますか?
マウスピース矯正は、軽度から中等度の歯並びの乱れや嚙み合わせの改善に適しています。
歯が少しずれている、前歯の歯並びが気になる、歯と歯の隙間が広いなどの場合に効果的です。複雑な症例や顎の骨に問題がある場合は、ワイヤー矯正が推奨されることもあります。
Q: どのくらいの時間、マウスピースをつけていなければいけませんか?
マウスピースは1日20~22時間程度つけていることが推奨されます。
食事や歯磨きの際に外すことができますが、できるだけつけている時間を確保することが治療の効果を最大化します。
Q: マウスピース矯正の治療費はどのくらいですか?
マウスピース矯正の費用は、症例の難易度や治療期間によって異なりますが、一般的には30万~100万程度が相場です。事前に治療費の詳細を確認することをおすすめします。
Q: マウスピース矯正とワイヤー矯正の違いは何ですか?
マウスピース矯正は、透明なプラスチック製のアライナーを使用するのに対し、ワイヤー矯正は金属やブラケットを使用して歯を動かします。
マウスピース矯正は目立ちにくく、取り外しができるため衛生的に便利ですが、ワイヤー矯正は複雑な症例や強い力が必要な場合に効果的です。






