icon(アイコン)
※初診時当日の施術はできません※
ICON治療をご希望の方は、事前の診察・カウンセリングが必要です。
初診当日の施術はできませんので、あらかじめご了承ください。

ホワイトスポット治療「icon(アイコン)」とは

Icon®(アイコン)は、ホワイトスポットを削らずに治療できる、欧米発の歯科治療薬です。この革新的な方法では、ドリルや麻酔を使用せずとも、痛みを最小限に抑えながら、歯の表面にあるエナメル質を再石灰化して、ホワイトスポットを改善します。
現在のところ、アイコン以外の「削らないホワイトスポット治療」は開発されていません。そのためアイコンはヨーロッパで多くの方に知れ渡っており、安全な治療法として評価されています(ただし、自由診療の対象です)。
icon(アイコン)の特徴
歯を削る必要がない

従来の治療法とは異なり、白い斑点を削って詰める必要がありません。
ただし、以前に行われた治療で、古いプラスチック素材の詰め物が貼り付けられている場合は、これを外すために削ることがあります。
痛みがほとんど起こらない

麻酔や切削ドリルを使用しないため、治療中の痛みはほとんど起こりません。
効果が早く得られる

カルシウムを補う歯磨き粉を使ってホワイトスポットを治す方法もありますが、時間がかかったり効果に期待できなかったりするなど、色々なデメリットが生じます。
一方、アイコンは治療中に薬剤を直接歯に染み込ませるため、1回の治療で改善できる可能性もあります。なお、効果の実感につきましては、個人差があります。
歯が強くなる

液状プラスチック樹脂をエナメル質に浸透させるので、エナメル質が補強されて歯が強くなります。
このような人におすすめ
- ホワイトスポット(白斑)が気になる方
- 初期虫歯で歯が白く変色している方
- 生まれつき前歯に白い斑点がある方
- 矯正治療を終えて装置を取り外した後、歯に白濁が見られた方
- ホワイトニング治療を受けた後、ホワイトスポットが目立ち始めた方
ホワイトスポットの原因
エナメル質形成不全症
エナメル質の一部に石灰化不全や形成不全が生じ、それがホワイトスポットとして見えることがあります。これは生まれつきのものなので、脱灰(だっかい:エナメル質からミネラル質が溶け出してしまう状態)は生じません。ただし、歯のミネラル(無機質)の量は減少しています。
初期虫歯

脱灰と再石灰化のバランスが崩れ、半透明のエナメル質が白く濁ることがあります。これは「隠れ虫歯」とも呼ばれます。
フッ素症(斑状歯)
高濃度フッ素の過剰摂取によるフッ素症(斑状歯)によって発生することがあります。ただし、現在ではほとんど、フッ素症の患者様は見られなくなっています。
icon(アイコン)が難しい場合・注意点
➀ホワイトニングを検討している場合

アイコンは、液状のプラスチック樹脂をエナメル質に浸透させる治療法です。そのため、アイコンを行ってからホワイトニングをすると、ホワイトスポットの箇所が白くならなくなります。ホワイトニングを希望する際は、先にホワイトニングを済ませ、その後にアイコン治療を受けるようにしましょう。
②完全な治癒が難しいケースもある
場合によっては、ホワイトスポットの完治が難しくなるケースもあります。白い斑点を少し目立たなくすることは可能ですが、天然の歯の色に完全に一致させるのは難しく、理想的な結果が得られない可能性もあります。
③時間の経過と共に変色する恐れがある
場合によっては、ホワイトスポットの完治が難しくなるケースもあります。白い斑点を少し目立たなくすることは可能ですが、天然の歯の色に完全に一致させるのは難しく、理想的な結果が得られない可能性もあります。
④虫歯治療と同日の施術はできません
ICON治療と通常の虫歯治療は、それぞれ異なる処置が必要なため、同じ日に行うことはできません。
⑤ICON治療は1日最大4歯まで
お口の状態や施術の特性上、ICON治療は1回の来院につき最大4歯までとさせていただいております。
⑥施術後の経過観察が必要です
ICON治療後の効果や状態を確認するため、1年間は経過を見ていきます。定期的なチェックにお越しください。
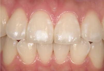
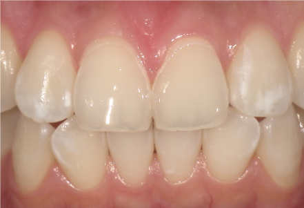
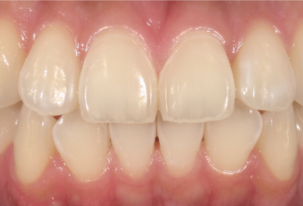
症例写真
before

after

6ヶ月後

| 年齢 | 20代 |
|---|---|
| 性別 | 女性 |
| 主訴 | 前歯2本の白い斑点(ホワイトスポット)が気になる |
| 治療内容 | icon(浸潤性レジンによるホワイトスポット治療) 歯を削らず、特殊な薬剤でエナメル質の表面を処理した後、低粘度のレジンを浸透させて色調を改善する治療です。 |
| 治療期間 | 1回(約60分) |
| 費用 | 1歯 35,000円(税込) ※自由診療となります |
リスク・副作用
- ホワイトスポットの大きさや深さによっては、完全に改善しない場合があります。
- 治療後に色の後戻りが生じることがあります。
- 症例によっては、ラミネートベニアやホワイトニングなど他の治療法を併用する必要がある場合があります。
よくあるご質問(Q&A)
Q1. ICON(アイコン)治療とは何ですか?
歯を削らず白い斑点を目立たなくする治療です。
説明:専用の薬剤を歯に浸透させることで、白く濁った部分の見た目を改善します。削ったり詰めたりせずに行えるため、歯への負担を抑えながら自然な見た目に近づける方法です。
Q2. どんな症状に適していますか?
前歯の白い斑点や初期の変色に適しています。
説明:ホワイトスポットと呼ばれる白濁や、初期段階の虫歯による変色などに効果が期待できます。特に見た目が気になる前歯の改善目的で選ばれることが多い治療です。
Q3. 痛みはありますか?
ほとんど痛みはありません。
説明:ドリルで削る処置を行わず、薬剤を浸透させる方法のため強い刺激は少ないのが特徴です。麻酔を使わずに行えるケースが多く、歯科治療が苦手な方にも選ばれやすい方法です。
Q4. 1回で終わりますか?
1回で完了することもあります。
説明:状態によっては1回の施術で見た目の改善を感じられることがあります。ただし白斑の深さや範囲によっては、複数回の処置や他の治療を組み合わせる場合もあります。
Q5. 完全に元の歯の色に戻りますか?
個人差があり完全一致は難しい場合もあります。
説明:白い部分を目立たなくすることは可能ですが、天然歯と完全に同じ色調にするのが難しいケースもあります。仕上がりは事前にしっかり確認することが大切です。
Q6. ホワイトニングとの違いは何ですか?
対象と目的が異なります。
説明:ホワイトニングは歯全体を白くする施術ですが、ICONは部分的な白濁を改善する治療です。症状によっては順番や併用が重要になるため、事前の診断が必要です。
Q7. 誰でも受けられますか?
状態によっては適応外になる場合があります。
説明:白斑の原因や深さによっては効果が出にくいケースがあります。また虫歯治療が必要な場合など、先に別の処置を優先することもあります。
Q8. 効果はどのくらい続きますか?
一定期間維持されますが個人差があります。
説明:生活習慣やお口の環境によっては、時間の経過とともに色の変化が出ることがあります。良い状態を保つためには定期的なチェックが大切です。
Q9. 治療後に気をつけることはありますか?
定期的な経過観察が必要です。
説明:施術後は状態の変化を確認するため、一定期間のチェックが推奨されます。必要に応じて追加のケアや調整を行うことで、より良い状態を維持できます。
Q10. ICON治療のメリットは何ですか?
歯を守りながら見た目を改善できる点です。
説明:削らずに行えるため健康な歯質を残せることに加え、短時間で見た目の変化を実感しやすい点が特徴です。審美性と低侵襲を両立した治療法といえます。






