2026/02/25 ブログ
セラミック治療で後悔しないために!後悔したケースや対策
こんにちは。仙台市宮城野区「福田町駅」より徒歩4分にある歯医者「色川歯科医院」です。

セラミック治療とは、被せ物や詰め物としてセラミック素材を使用する治療方法です。天然歯に近い美しさと高い耐久性が魅力ですが、「本当に自分に合っているの?」「後悔するとしたらどのようなケースがある?」など、疑問に思う方もいるでしょう。
実際に、費用やリスクなどを十分に理解しないまま選択すると、後悔につながる可能性があります。
今回は、セラミック治療で後悔した例と、後悔しないためのポイントについて解説します。
目次
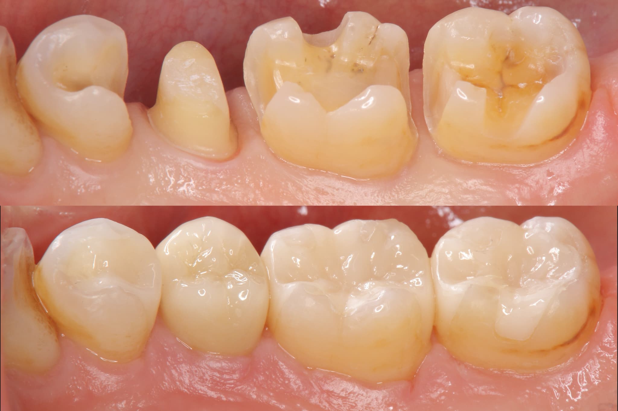
セラミック治療とは

セラミック治療とは、詰め物や被せ物などの補綴治療において、陶器(セラミック)を使用する治療法のことです。従来の金属製の補綴物と異なり、天然歯のような色や透明感を再現できるのが大きな特徴で、審美性を重視する患者さまによく選ばれています。
また、セラミックは汚れがつきにくく、口腔内の衛生状態を保ちやすいという利点もあります。金属を使用しないため、金属アレルギーの心配がなく、歯茎の黒ずみといった現象も起こりません。見た目の自然さと健康面の両方を兼ね備えた治療法として注目されています。
ただし、セラミック治療はすべての症例に適応となるわけではなく、歯の状態や噛み合わせなどを総合的に判断したうえで治療を進める必要があります。また、保険適用外となり、高額になる傾向にあるため、費用面についても事前に把握しておくことが大切です。
セラミック治療でみられる後悔の例

ここでは、セラミック治療でよくみられる後悔の例を紹介します。
費用が高い
セラミック治療は、保険が適用されない自由診療であるため、どうしても費用が高額になりがちです。1本あたり10万円以上かかるケースもあり、数本の治療を行うと数十万円に達することもあるでしょう。
治療が進んでいく中で総額が膨れ上がり、当初の想定よりも大きな負担に感じる方もいます。費用対効果に納得できれば満足感は高まりますが、期待したとおりの見た目や機能を得られなかった場合、出費に対する後悔する可能性もあるでしょう。
人工的に見える
セラミックは天然の歯に近い見た目が魅力ですが、必ずしも見た目に満足できるとは限りません。周りの歯と比べて白すぎる、表面が不自然にツルツルしているなど、人工的に見えることもあります。特に前歯は、天然歯と比較してわずかに質感や色味が異なるだけでも、不自然に感じることがあるでしょう。
見た目への後悔は、十分なカウンセリングや色のシミュレーションが行われていない場合に起こりやすいです。
歯を削る量が気になる
セラミック治療を行う際、治療部位の歯をある程度削る必要があります。歯は、一度削ると元に戻りません。治療後に「健康な歯を削ってまでセラミック治療をする必要があったのか」と後悔する方もいます。
事前のカウンセリングで、なぜ歯を削る必要があるのか、どの程度削るのかなどについてしっかりと説明を受けるようにしましょう。
うまく噛み合わなくなった
セラミックの詰め物や被せ物を装着した後に、噛むときに違和感がある、隣の歯と当たる感じがする、顎が疲れるといったトラブルが起きることがあります。噛み合わせが悪くなるのは、詰め物・被せ物の高さや形が合っていないことが原因です。
放置すると、顎関節症や肩こりなど全身の不調につながることもあります。
メンテナンスを怠って虫歯になった
セラミックは人工物のため虫歯にはなりませんが、土台となる天然歯は虫歯になる可能性があります。セラミックと歯の間に汚れやプラークが溜まると、虫歯が再発するリスクが高まります。虫歯が再発すると、セラミックの歯を外してから治療しなければなりません。
再度セラミックの歯を装着するには、治療後の歯の形に合わせる必要があるため、基本的には作り直さなければなりません。虫歯治療の費用だけでなく、セラミックの歯を再作製する費用も発生します。
長く使えなかった
セラミックは適切に作製・装着され、日々のケアが行き届いていれば10年以上使用できることが多いです。しかし、強い歯ぎしり・食いしばりの癖があったり、装着後の口腔ケアが不十分だったりすると、予想より早く破損・脱落することがあります。
また、噛み合わせの調整が不完全だった場合も、特定の歯に過度な力がかかり、結果としてセラミックが割れたり外れたりする原因になります。
セラミック治療での後悔を防ぐためには

セラミック治療での失敗を防ぐためには、以下のポイントに注意しましょう。
信頼できる歯科医院を選ぶ
セラミック治療には専門的な知識と高い技術力が求められるため、実績のある歯科医師を探すことが大切です。症例数が多く、カウンセリングや治療の説明が丁寧な歯科医院を選ぶとよいでしょう。
また、セラミック治療後の保証制度がある歯科医院であれば、外れたり割れたりした場合でも、条件を満たせば無償もしくは割引で修理や再作製の保証が受けられることがあります。
歯を削る量を把握する
セラミック治療では、天然歯をある程度削ってセラミックを装着する必要があります。削る量は症例や詰め物・被せ物の種類によって変わりますが、想像以上に削られることで後悔する方もいます。
削る量を最小限に抑える治療法もあるため、事前にどれくらい削るのかを確認し、納得したうえで治療に進むことが重要です。
費用と仕上がりのバランスを考える
セラミック治療では、使用する素材の種類によって費用が異なります。たとえば、オールセラミックやジルコニアは高額ですが、審美性や耐久性に優れており、長い目で見れば満足度の高い選択となる場合があります。
対して、安価な素材では見た目や耐久性に劣ることもあり、結果的に修復が必要になるケースもあります。ご自身の要望と予算を歯科医師としっかり相談し、バランスの取れた治療内容を選ぶことが、後悔を減らすポイントといえるでしょう。
噛み合わせを調整する
セラミックは丈夫な素材ですが、過度な力が局所的に加わると欠けたり割れたりするおそれがあります。特に、強い噛みしめや歯ぎしりの癖がある人は、セラミックのクラウンやインレーに過剰な負荷がかかりやすく、破損の原因になり得ます。
治療前に噛み合わせの状態をしっかりと診断してもらい、必要に応じてナイトガード(マウスピース)を装着するなどの対策を取ることが大切です。また、治療後の定期検診で噛み合わせのチェックを受け、必要に応じてセラミックの歯の形や高さを調整してもらうと、寿命を延ばすことにつながります。
定期的にメンテナンスを受ける
セラミックは虫歯になりませんが、そのまわりの歯や歯茎は時間とともに変化します。定期的にメンテナンスを受けると、噛み合わせや適合状態、歯茎の健康を継続的に管理できます。万が一トラブルの兆候があっても早期に対応できるため、再治療や再作製のリスクを最小限に抑えられるでしょう。
長期的にセラミックを良い状態で保つためには、歯科医院でのメンテナンスが大切です。
まとめ

セラミック治療は、見た目の美しさや機能性の高さから多くの人に選ばれる治療方法ですが、選び方や治療の進め方によっては失敗や後悔につながることもあります。特に、歯科医院選びや事前の説明不足、メンテナンスの欠如などが後悔の原因として挙げられます。
セラミック治療を検討している方は、歯科医院の選定やカウンセリングの質、費用と効果のバランスをしっかりと見極めることが大切です。また、治療後のメンテナンスを欠かさず行い、長期的な視点で歯の健康を維持していくことが、後悔のない歯科治療につながります。
セラミック治療を検討されている方は、仙台市宮城野区「福田町駅」より徒歩4分にある歯医者「色川歯科医院」にお気軽にご相談ください。
当院では、虫歯・根管治療や予防歯科、小児歯科、マウスピース矯正、インプラントなど、さまざまな診療を行っています。診療メニューはこちら、WEB予約・LINE予約も受け付けておりますので、ぜひご覧ください。







